Discovery could aid early screening, shed light on how Chiari malformation arises
Common brain malformation traced to its genetic roots (Links to an external site)
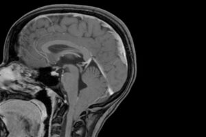
Discovery could aid early screening, shed light on how Chiari malformation arises
This episode of ‘Show Me the Science’ contrasts the rapid development of effective vaccines with the lack of progress toward effective therapies
At its December 17, 2020, board meeting the City of St. Louis Boards of Health and Hospitals announced the unanimous selection of Rhonda Belue, PhD as its new Board Chairperson. BeLue has served on the board since March 2017 and succeeds Dr. Will Ross as chairperson. Dr. Ross will continue serving on the board.
Employees with close patient contact begin receiving Pfizer vaccine; older ages prioritized
The Fall 2020 Skandalaris LEAP cycle has ended and a new set of translational research projects have been funded. LEAP is an asset development program and gap fund designed to provide intellectual and financial capital to WashU affiliate translational projects.
CCHPR shares highlights from 2020 in end of year newsletter. Read it here.
Researchers at Washington University School of Medicine in St. Louis have received a two-year, $5 million grant to offer 50,000 saliva tests for the SARS-CoV-2 virus to students, teachers and staff in the six special education schools operated by the Special School District of St. Louis County (SSD).
Findings indicate anti-inflammatory drugs likely to benefit only a fraction of people with severe disease
A look at how Washington University came together in the spring and summer to respond to the COVID-19 outbreak — and to prepare for a fall semester that is anything but back to normal.